Tермоабляция доброкачественных узлов щитовидной
При термоабляции, под контролем ультразвука, вводиться специальный термозонд в узел щитовидной железы, при помощи которого узел точечно разрушается. В узлах щитовидной железы, нет нервных волокон, поэтому процедура, проводимая под местной анестезией, проходит безболезненно и необходимости в проведении общего наркоза нет.
Ткани, разрушенные данным методом, устраняются организмом и узел сжимается. Процесс сжатия узла, зависит от его составляющих структур и составляет от 60 до 90%, от его изначального объема, в течении года.
Индикация и применение данного метода
Возможность проведения термоабляции, Вам необходимо будет обсудить с лечащим врачом, на личной консультации. Данная методика не подходит при злокачественном раке щитовидной железы.
В основном, поддаются терапии следующие заболевания щитовидной железы:
- Симптоматические доброкачественные узловые образования
- Симптоматические кисты щитовидной железы
- Быстрорастущие узлы или кистозные образования
- Визуально мешающие узлы или кистозные образования
- «Горячие» узловые образования (автономная аденома) в случае, если проведение радиойодтерапии нежелательно
- Пациенты, которые не согласны на хирургическое вмешательство
- Пациенты, которым для проведения операции, наркоз можно проводить только в ограниченных случаях, либо нельзя проводить вообще.
Узлы Щитовидной железы (Tермоабляция)
Минимально – инвазивное лечение узлов щитовидной железы
Узлы щитовидной железы, наряду с увеличением щитовидной железы (зобом), относятся к числу распространенных доброкачественных заболеваний, которые встречаются у 50% населения. Узлы щитовидной железы могут вызвать как проблемы при давлении на близлежащие структуры, так и эстетические проблемы. Часто, данные узлы, все еще удаляются хирургическим путем. После операции, остаются рубцы на шее и могут возникнуть осложнения такие как, кровоподтеки, воспаления, или паралич нерва голосовых связок. К этому добавляются риски, которые могут возникнуть при наркозе. При наличии узлов определенного характера, вначале рекомендуется провести лечение с применением методов ядерной терапии. Недостатком, применения методов ядерной медицины, является возможная, постоянная недостаточность щитовидной железы.
Изображение поперечного среза шеи и области щитовидной железы. Желтые линии, обозначают месторасположение двух депо с обезболивающим средством. У кончика термического зонда образуются небольшие тепловые поля, которые позволяют провести точечную абляцию узла (зеленый овал).
Термоаблация узлов щитовидной железы успешно применяется на международном уровне уже с 2002 года. По сравнению с хирургическим вмешательством, абляция является намного щадящим, но очень эффективным, микротерапевтическим методом лечения доброкачественных узлов, после которого не остаётся больших рубцов на коже. Кроме того, риск осложнений значительно ниже, чем при операции. Данная терапия, проходит практически безболезненно и наркоз, при её проведении, не требуется.
Обработанные данным методом ткани, устраняются организмом. Показатель эффективности
абляции составляет более 90%.
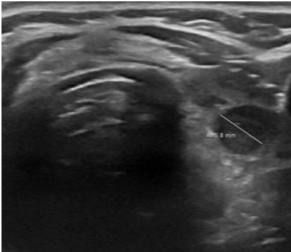
Фотографии и снимки – УЗИ узл
щитовидной железы до проведения
термоабляции и через 6 месяцев
Часто задаваемые вопросы:
Как проводиться терапия методом термоабляции?
После проведения местной анестезии кожи, и под визуализированным контролем УЗИ, вводится тонкий зонд в узел щитовидной железы. Затем, кончик зонда нагревается до тех пор, пока клетки, находящиеся в непосредственной близости зонда, не будут разрушены, не оказывая при этом негативное влияние на остальные, здоровые ткани. Данный процесс повторяется несколько раз, пока не будет обработан весь узел.
Насколько большим может быть узел, чтобы выполнить данную терапию?
Маленькие узлы до 30см3 можно пролечить за один сеанс. Для больших узлов, доходящих до 150 см3, может потребоваться несколько сеансов.
Является ли термоабляция экспериментальным методом лечения?
Термоабляция – это отнюдь не экспериментальная терапия, а международно признанный медицинский метод лечения.
Как обследуется узел перед проведением термоабляционного лечения?
Для исключения возможной злокачественности узла, необходимо провести цитологическое исследование перед проведением терапии. Данное обследование, является минимально инвазивным и проводиться под местной анестезией.
0 Kommentare
Antwort hinterlassen
Tермоабляция доброкачественных узлов щитовидной
При термоабляции, под контролем ультразвука, вводиться специальный термозонд в узел щитовидной железы, при помощи которого узел точечно разрушается. В узлах щитовидной железы, нет нервных волокон, поэтому процедура, проводимая под местной анестезией, проходит безболезненно и необходимости в проведении общего наркоза нет.
Ткани, разрушенные данным методом, устраняются организмом и узел сжимается. Процесс сжатия узла, зависит от его составляющих структур и составляет от 60 до 90%, от его изначального объема, в течении года.
Индикация и применение данного метода
Возможность проведения термоабляции, Вам необходимо будет обсудить с лечащим врачом, на личной консультации. Данная методика не подходит при злокачественном раке щитовидной железы.
В основном, поддаются терапии следующие заболевания щитовидной железы:
- Симптоматические доброкачественные узловые образования
- Симптоматические кисты щитовидной железы
- Быстрорастущие узлы или кистозные образования
- Визуально мешающие узлы или кистозные образования
- «Горячие» узловые образования (автономная аденома) в случае, если проведение радиойодтерапии нежелательно
- Пациенты, которые не согласны на хирургическое вмешательство
- Пациенты, которым для проведения операции, наркоз можно проводить только в ограниченных случаях, либо нельзя проводить вообще.
Узлы Щитовидной железы (Tермоабляция)
Минимально – инвазивное лечение узлов щитовидной железы
Узлы щитовидной железы, наряду с увеличением щитовидной железы (зобом), относятся к числу распространенных доброкачественных заболеваний, которые встречаются у 50% населения. Узлы щитовидной железы могут вызвать как проблемы при давлении на близлежащие структуры, так и эстетические проблемы. Часто, данные узлы, все еще удаляются хирургическим путем. После операции, остаются рубцы на шее и могут возникнуть осложнения такие как, кровоподтеки, воспаления, или паралич нерва голосовых связок. К этому добавляются риски, которые могут возникнуть при наркозе. При наличии узлов определенного характера, вначале рекомендуется провести лечение с применением методов ядерной терапии. Недостатком, применения методов ядерной медицины, является возможная, постоянная недостаточность щитовидной железы.
Изображение поперечного среза шеи и области щитовидной железы. Желтые линии, обозначают месторасположение двух депо с обезболивающим средством. У кончика термического зонда образуются небольшие тепловые поля, которые позволяют провести точечную абляцию узла (зеленый овал).
Термоаблация узлов щитовидной железы успешно применяется на международном уровне уже с 2002 года. По сравнению с хирургическим вмешательством, абляция является намного щадящим, но очень эффективным, микротерапевтическим методом лечения доброкачественных узлов, после которого не остаётся больших рубцов на коже. Кроме того, риск осложнений значительно ниже, чем при операции. Данная терапия, проходит практически безболезненно и наркоз, при её проведении, не требуется.
Обработанные данным методом ткани, устраняются организмом. Показатель эффективности
абляции составляет более 90%.
Фотографии и снимки – УЗИ узл
щитовидной железы до проведения
термоабляции и через 6 месяцев
Часто задаваемые вопросы:
Как проводиться терапия методом термоабляции?
После проведения местной анестезии кожи, и под визуализированным контролем УЗИ, вводится тонкий зонд в узел щитовидной железы. Затем, кончик зонда нагревается до тех пор, пока клетки, находящиеся в непосредственной близости зонда, не будут разрушены, не оказывая при этом негативное влияние на остальные, здоровые ткани. Данный процесс повторяется несколько раз, пока не будет обработан весь узел.
Насколько большим может быть узел, чтобы выполнить данную терапию?
Маленькие узлы до 30см3 можно пролечить за один сеанс. Для больших узлов, доходящих до 150 см3, может потребоваться несколько сеансов.
Является ли термоабляция экспериментальным методом лечения?
Термоабляция – это отнюдь не экспериментальная терапия, а международно признанный медицинский метод лечения.
Как обследуется узел перед проведением термоабляционного лечения?
Для исключения возможной злокачественности узла, необходимо провести цитологическое исследование перед проведением терапии. Данное обследование, является минимально инвазивным и проводиться под местной анестезией.
0 Kommentare
Antwort hinterlassen
Tермоабляция доброкачественных узлов щитовидной
При термоабляции, под контролем ультразвука, вводиться специальный термозонд в узел щитовидной железы, при помощи которого узел точечно разрушается. В узлах щитовидной железы, нет нервных волокон, поэтому процедура, проводимая под местной анестезией, проходит безболезненно и необходимости в проведении общего наркоза нет.
Ткани, разрушенные данным методом, устраняются организмом и узел сжимается. Процесс сжатия узла, зависит от его составляющих структур и составляет от 60 до 90%, от его изначального объема, в течении года.
Индикация и применение данного метода
Возможность проведения термоабляции, Вам необходимо будет обсудить с лечащим врачом, на личной консультации. Данная методика не подходит при злокачественном раке щитовидной железы.
В основном, поддаются терапии следующие заболевания щитовидной железы:
- Симптоматические доброкачественные узловые образования
- Симптоматические кисты щитовидной железы
- Быстрорастущие узлы или кистозные образования
- Визуально мешающие узлы или кистозные образования
- «Горячие» узловые образования (автономная аденома) в случае, если проведение радиойодтерапии нежелательно
- Пациенты, которые не согласны на хирургическое вмешательство
- Пациенты, которым для проведения операции, наркоз можно проводить только в ограниченных случаях, либо нельзя проводить вообще.
Узлы Щитовидной железы (Tермоабляция)
Минимально – инвазивное лечение узлов щитовидной железы
Узлы щитовидной железы, наряду с увеличением щитовидной железы (зобом), относятся к числу распространенных доброкачественных заболеваний, которые встречаются у 50% населения. Узлы щитовидной железы могут вызвать как проблемы при давлении на близлежащие структуры, так и эстетические проблемы. Часто, данные узлы, все еще удаляются хирургическим путем. После операции, остаются рубцы на шее и могут возникнуть осложнения такие как, кровоподтеки, воспаления, или паралич нерва голосовых связок. К этому добавляются риски, которые могут возникнуть при наркозе. При наличии узлов определенного характера, вначале рекомендуется провести лечение с применением методов ядерной терапии. Недостатком, применения методов ядерной медицины, является возможная, постоянная недостаточность щитовидной железы.
Изображение поперечного среза шеи и области щитовидной железы. Желтые линии, обозначают месторасположение двух депо с обезболивающим средством. У кончика термического зонда образуются небольшие тепловые поля, которые позволяют провести точечную абляцию узла (зеленый овал).
Термоаблация узлов щитовидной железы успешно применяется на международном уровне уже с 2002 года. По сравнению с хирургическим вмешательством, абляция является намного щадящим, но очень эффективным, микротерапевтическим методом лечения доброкачественных узлов, после которого не остаётся больших рубцов на коже. Кроме того, риск осложнений значительно ниже, чем при операции. Данная терапия, проходит практически безболезненно и наркоз, при её проведении, не требуется.
Обработанные данным методом ткани, устраняются организмом. Показатель эффективности
абляции составляет более 90%.
Фотографии и снимки – УЗИ узл
щитовидной железы до проведения
термоабляции и через 6 месяцев
Часто задаваемые вопросы:
Как проводиться терапия методом термоабляции?
После проведения местной анестезии кожи, и под визуализированным контролем УЗИ, вводится тонкий зонд в узел щитовидной железы. Затем, кончик зонда нагревается до тех пор, пока клетки, находящиеся в непосредственной близости зонда, не будут разрушены, не оказывая при этом негативное влияние на остальные, здоровые ткани. Данный процесс повторяется несколько раз, пока не будет обработан весь узел.
Насколько большим может быть узел, чтобы выполнить данную терапию?
Маленькие узлы до 30см3 можно пролечить за один сеанс. Для больших узлов, доходящих до 150 см3, может потребоваться несколько сеансов.
Является ли термоабляция экспериментальным методом лечения?
Термоабляция – это отнюдь не экспериментальная терапия, а международно признанный медицинский метод лечения.
Как обследуется узел перед проведением термоабляционного лечения?
Для исключения возможной злокачественности узла, необходимо провести цитологическое исследование перед проведением терапии. Данное обследование, является минимально инвазивным и проводиться под местной анестезией.







